Behandeling

Dit zogenoemde spleetje kan gekomen zijn door het wisselen van de melktanden, maar er zijn ook andere redenen. Vaak is de oorzaak genetisch, bijvoorbeeld wanneer kinderen de tanden van hun vader krijgen maar de kaakboog van hun moeder, of omgekeerd. De tanden kunnen dan te klein zijn voor de tandboog waarin ze zich bevinden. Ook kan een diasteem ontstaan indien je vaak de neiging hebt je tong naar buiten de duwen bij het doorslikken van eten.

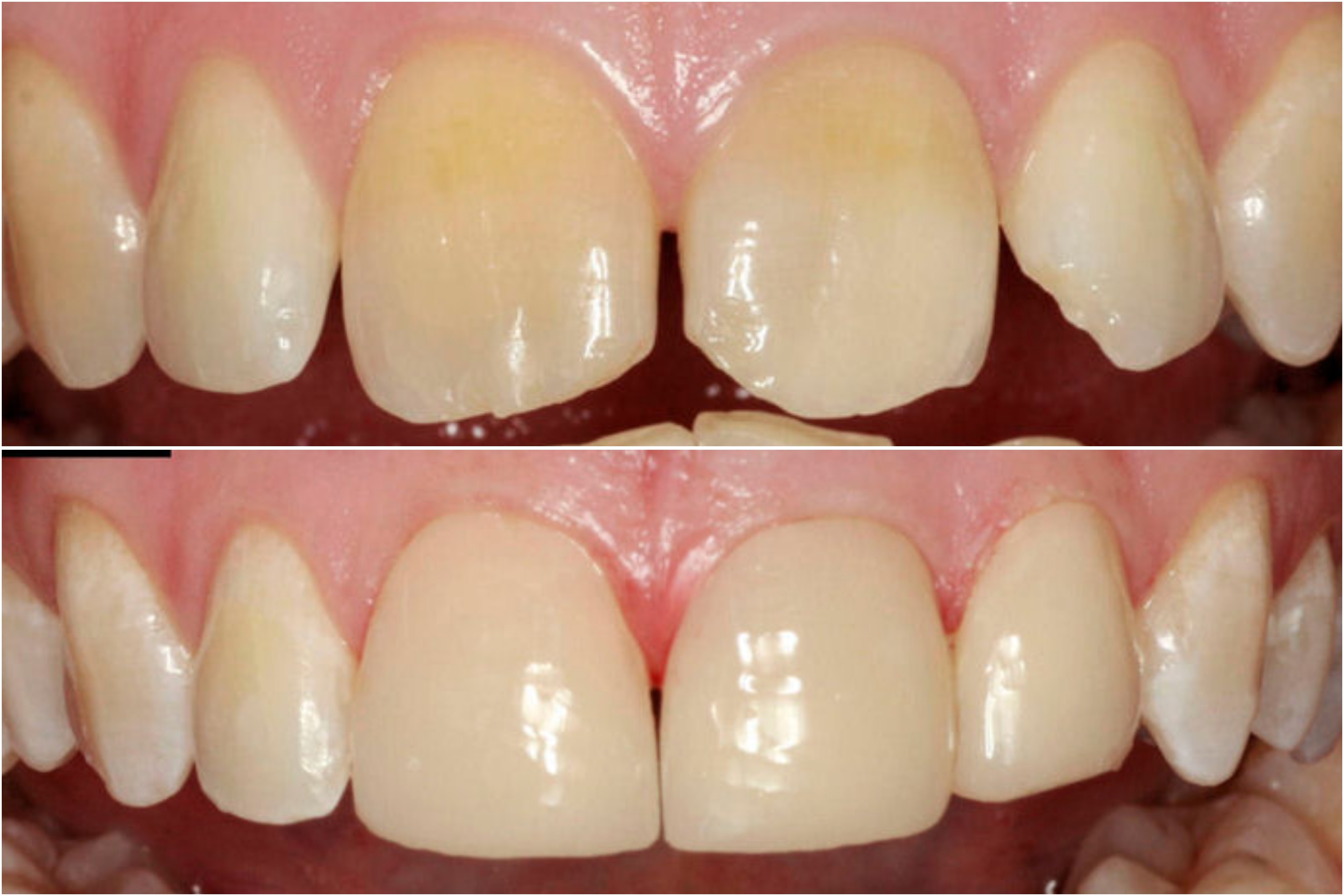
Afhankelijk van de oorzaak van het spleetje tussen de tanden zal er een behandelplan opgesteld worden. Deze zal de tandarts met u bespreken. Meestal wordt de extra ruimte opgevuld met composiet. Daardoor lijken de tanden breder en versmallen we de tussenruimte tot een voor u acceptabele afstand.

Afspraak

Voor meer informatie of het inplannen van een afspraak kunt u contact opnemen met ons receptieteam op 010-4361604.

Kosten

Voor de exacte kosten voor het opvullen van een diasteem kunt u een cosmetisch consult inplannen met uw behandelaar die u na het bespreken van uw wensen van een begroting zal voorzien.

Nota’s van uw behandeling dienen direct aan de balie afgerekend te worden per pin of eventueel contant. Dit overzicht is slechts een indicatie gezien iedere patiënt een eigen behandeling behoeft, waardoor kosten per patiënt kunnen verschillen. Prijzen zijn volgens de Prestatie- en tariefbeschikking Tandheelkundige zorg van de Nederlandse Zorgautoriteit (NZA), geldend vanaf: 01-01-2026 tot en met 31-12-2026. Meer informatie over kosten kunt u vinden op www.allesoverhetgebit.nl.

Alle behandelingen onder één dak

Implantaat
Een implantaat wordt gebruikt voor de behandeling van gedeeltelijk en volledig onbetande patiënten. Een implantaat lijkt op een titanium schroefje en is te vergelijken met een kunstwortel, die op de plaats gezet kan worden van de wortel van de tand of kies die in uw gebit verloren is gegaan.
Door:
Mondhygiëne
In de mond komen veel verschillende soorten bacteriën voor. Deze hechten zich ook aan de tanden en kiezen in de mond. Dit wordt tandplaque genoemd. Als tandplaque langdurig op de tanden en kiezen blijft zitten, wordt het tandsteen en kunnen gaatjes en tandvleesontsteking ontstaan.
Door:
Brug
Een brug verbindt gebitselementen over een ontbrekende tand of kies heen, of over meerdere ontbrekende tanden of kiezen en wordt vastgezet op ‘pijlers’. Dit zijn afgeslepen tanden of kiezen aan weerszijden van de open ruimte van de ontbrekende tand of kies.
Door:
Kroon
Door slijtage, ongevallen of tandbederf kan een kies of tand moeten worden vervangen door een kroon. Een kroon is een kapje van porselein dat we over een afgeslepen tand of kies aanbrengen en is bedoeld als duurzame vervanging van de tand of kies.
Door:
Prothese
Is uw bestaande prothese aan vervanging toe? Onze klinisch prothese technicus, Jane Simin maakt samen met u een prothese van hoogwaardige kwaliteit die geheel afgestemd is op uw wensen.
Door:
Gebitsbeschermers
Tijdens contactsporten en sommige balsporten is het nodig de tanden te beschermen tegen impact. De 'kant en klaar' bitjes die in de winkel te verkrijgen zijn, bieden onvoldoende bescherming vanwege de slechte pasvorm. Belangrijk is een goede aansluiting, strak rondom de tanden en deels over het tandvlees (immers onder het tandvlees liggen de wortels van de tanden), dit zorgt voor een betere bescherming.
Door:
Bleken
Voor het bleken van uw gebit maken wij gebruik van bleeklepels (thuisbleken). Het resultaat van bleken hangt af van de basiskleur van uw tanden.
Door:
Cosmetisch consult
Veel mensen vinden het uiterlijk van hun gebit belangrijk, wij ook. Bij TANDZORG.NL creëren we graag samen met u, uw persoonlijk ideale glimlach op een tandheelkundig verantwoorde manier.
Door:
Spleetje tussen de tanden
Een diasteem (extra ruimte tussen twee of meer tanden) ervaren de meeste mensen als storend tussen de twee voortanden in de bovenkaak.
Door:
Facings
Wilt u een mooi, regelmatig gebit en is een beugel in uw geval geen optie, dan is een facing een goed alternatief. Met een facing kunnen we de vorm of kleur van uw tanden aanpassen.
Door:
Mondzorg voor kinderen
Bij TANDZORG.NL vinden wij het belangrijk uw kind van jongs af aan te begeleiden en om samen met de ouders/verzorgers te streven naar een gezonde kindermond.
Door:
Periodieke controle
Tijdens de periodieke gebitscontrole beoordeelt de tandarts de gezondheid van uw mond.
Door:
Vulling
TANDZORG.NL maakt voor het vullen van gaatjes of het repareren van vullingen in de meeste gevallen gebruik van composiet.
Door:
Sealen
Sealen is een preventieve en pijnloze behandeling voor jong en oud, die de kiezen op die plaatsen afdekt waar ze het meest gevoelig zijn voor gaatjes, namelijk in de groeven en putjes.
Door:
Extractie
Extractie is het officiële woord voor het trekken van tanden of kiezen. Als het technisch en financieel enigszins mogelijk is, richt TANDZORG.NL zich in eerste instantie op het herstel en behoud van uw eigen gebit.
Door:
Wortelkanaalbehandeling
Tanden en kiezen bestaan uit een kroon en één of meer wortels. De wortels zitten onder het tandvlees in de kaak verankerd. In elke wortel loopt een kanaal: het zenuw- of wortelkanaal. Hierin zitten zenuwvezels en kleine bloedvaten. Als dit weefsel onherstelbaar beschadigd is, bijvoorbeeld na een ongeval, of ontstoken is, voert de tandarts een wortelkanaalbehandeling uit.
Door: